Introduction
Dr. Carl Lazzari is a highly respected figure in restorative dentistry and each and every one of his patients continues to be met with compassion and care. With his expertise in dental implants, he has a proven track record of transforming both the lives and smiles of his patients.
Dr. Carl Lazzari is the co-founder of Aurora Dental & Implant Clinics in Chippenham, Corsham, Swindon and Devizes. His expertise emanates throughout our 4 clinics as he passionately creates and restores beautiful smiles. He continues to be proud of his work as Clinical Director and Dental Implantologist.
With a relaxed manner that can put even the most nervous patients at ease, Dr. Carl Lazzari is fully qualified to administer sedation if and when necessary. Dr. Carl Lazzari continues to help those patients, who are nervous about their treatment, overcome their anxieties. His passion for dentistry drives his skill and high-quality treatments but also his close relationship with his dedicated patients.
Dr. Carl Lazzari is proud of the positive environment he continues to create in the clinic with both his patients and his colleagues alike.
With many years of experience behind him, Dr. Carl is proud to stay up to date with the latest trends and demands in modern dentistry. He is committed to instilling confidence in his patients and enjoys transforming their self-esteem with his high-quality tailored dental care.
Dr. Carl is proud of the positive atmosphere he continues to create in the clinic on a daily basis, with both his patients and his colleagues alike.
Education
- Diploma of Implant Dentistry Royal College of Surgeons.
- IACSD Accredited Independent IV Sedation Provider Certification.
- Postgraduate Certificate in Implantology.
- Postgraduate Certificate in Restorative.
Patient Reviews & Testimonials
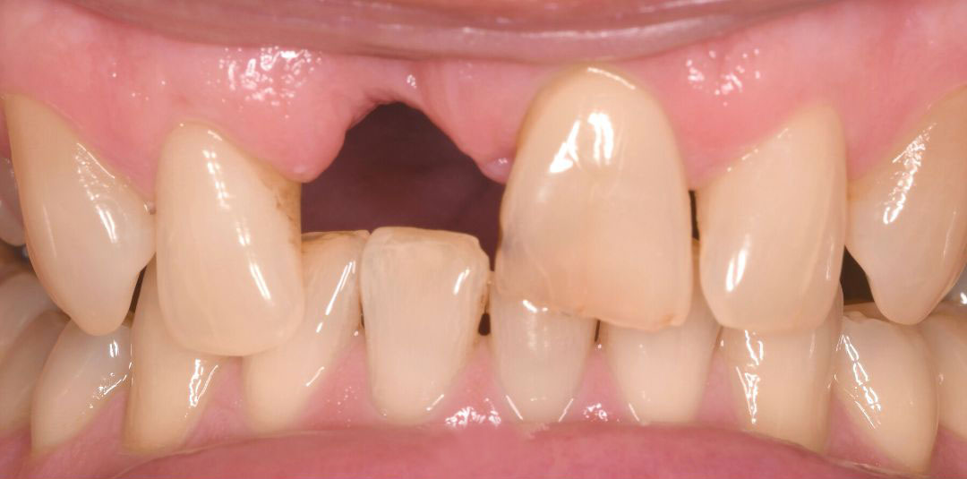
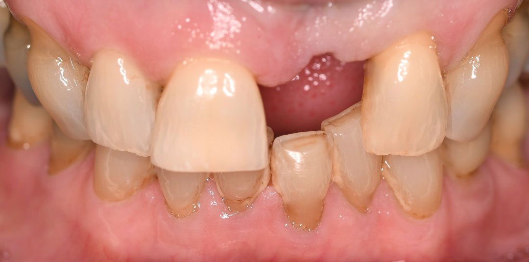
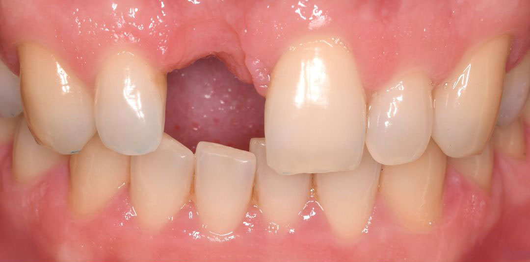
Case Studies - Before & After
Dr. Carl Lazzari is committed to instilling confidence in his patients and enjoys transforming their self-esteem with his high-quality tailored dental care. His case studies show exactly the quality of honest care that he delivers. View his case studies below.
*Move your mouse or finger left and right over the image
Get in Touch
If you’d like to learn more about the treatments Dr. Carl Lazzari provides, please do not hesitate to get in touch.

